营养与健康所等解析维生素B1代谢基因在东亚人群中的适应性进化
2022-11-23
国家纳米中心肿瘤纳米疫苗构建研究获进展
拟南芥超级增强子的鉴定与功能验证研究取得进展
中子螺旋波首次在实验室观察到
妊娠影响女性大脑结构与功能
新研究以极高精度控制单个光量子
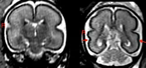
孕期饮酒会改变婴儿大脑结构
新技术实现曲面打印柔性电路
微型激光芯片为量子通信增加新维度
“夸父一号”卫星硬X射线成像仪首图发布